目前,在中国有一千多万的房颤患者,给中老年健康带来了极大的威胁。其危害有三:发生中风等栓塞事件、危害心脏功能、影响老年人认知功能。那么,如何治疗、预防血栓?

5月初,71岁的董爷爷突发胸闷胸痛伴大汗淋漓,休息许久仍不见好转,被家人送入当地医院。医生初步诊断为急性ST段抬高性心肌梗死,立刻通过急性胸痛区域救治网络平台联系到亚星手机版官方登录胸痛中心。一小时后,救护车载着董爷爷绕行亚星手机版官方登录急诊科,将其直接送入导管室。
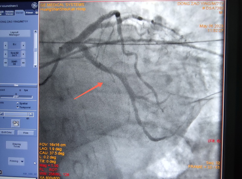
心内科主任吴捷华带领团队给董爷爷实施冠脉造影,显示回旋支完全闭塞伴血栓影,确定了回旋支是罪犯血管。医生们立即给董爷爷行冠脉内血栓抽吸和冠脉内溶栓,术中抽吸出几个较大的暗红色血栓。

术前VS术后
抽吸和溶栓后,闭塞的回旋支恢复了正常血流。但术中未见回旋支明显狭窄,考虑是血栓栓塞引起的回旋支闭塞。那么血栓是哪里来的呢?

术后董爷爷胸闷胸痛症状好转,但还存在心律绝对不齐的情况。结合术中血栓抽吸后血管未见明显狭窄,心内科团队考虑董爷爷此次急性心肌梗死的罪魁祸首是他的房颤病史。心房颤动导致左心耳处产生血栓,血栓滞留在冠状动脉血管中,限制血液流动,从而引起急性心肌梗死。
为了防止此类情况再次发生,在医生的建议下,董爷爷在回家休养了一个月后再次入院,接受经皮左心耳封堵术(LAAC)。
完善术前准备后,吴捷华主任将“小伞”一样的封堵器通过股静脉入径,经过下腔静脉、右心房,再通过房间隔穿刺送入董爷爷的左心房,并准确送入左心耳处,将左心耳完全封闭,使其变成隔绝于系统循环外的一座“孤岛”,这样就可防止血栓进入血液循环,避免了血栓脱落至心脏、大脑引起急性心肌梗死、脑卒中等。
手术顺利结束,埋藏在董爷爷心脏里的风险因素被成功排除,今后患脑卒中的风险也会明显降低。

术中VS术后
心房颤动,简称房颤,是最常见的心律失常之一。房颤最严重的风险是血栓栓塞,血栓脱落将导致栓塞事件,如急性脑梗死、急性心肌梗死。
为什么房颤患者更易发生脑卒中?
人体所有的血液供应都来源于心脏这个“泵”。心房颤动时,心房的收缩不规律,血流速度减缓,血液易于凝结,从而形成血栓。如果栓子能固定地停留在心脏里就还好,但不幸的是这种栓子通常能活动,并随着血流到达各个脏器的血管。当栓子进入到大脑血管时,它就在某个地方形成了一个“塞子”,堵住了这根血管,此时缺血性脑卒中就发生了。
左心耳封堵术
人的心脏上有一个类似“小耳朵”的部分,叫做“左心耳”。别看它个头小小的,造成的“杀伤力”却不小。在非瓣膜性房颤患者中,90%以上的病例已确定:左心耳是血栓形成的来源。
口服抗凝药是大多数房颤患者预防卒中的基础治疗,但药物抗凝治疗存在依从性差、增加出血风险、达标率低等问题。对于反复发生栓塞事件、抗凝药使用高出血风险患者、无法长期接受抗凝治疗的房颤患者,经皮左心耳封堵术(LAAC)是一种新型经导管介入预防房颤相关脑卒中的微创术式。
左心耳封堵术具有“一次植入,终身预防”的优越性,创伤小,无需开胸。手术通过穿刺股静脉,经细导管将折叠好的封堵器送到左心耳的开口位置,将左心耳开口部位牢牢封住,完全将左心耳与左心房分割开,成功避免心耳内的血栓脱落,大大降低了血栓栓塞事件的发生概率。

临床数据显示,实行左心耳封堵,能减少房颤患者90%左右的卒中发生,有效降低病死率、致残率。左心耳封堵术后,房颤患者无需终身服用抗凝药物,降低了抗凝药物导致的出血风险,真正提升房颤患者生活质量。
2022年10月24日,亚星手机版官方登录顺利通过“中国房颤中心(标准版)”认证。目前,针对房颤的规范化诊治,心血管内科紧跟指南和进展,在药物治疗基础上,对于有条件根治房颤的患者已常规开展导管消融术,而对于无法根治房颤且接受抗凝或者有高危栓塞风险的患者开展了左心耳封堵手术,近年来已让数百名房颤患者得到了积极的治疗和管理。亚星手机版官方登录房颤中心为房颤患者提供最适宜的治疗方案,最大程度改善房颤患者的生存质量和预后而努力。
