在亚星手机版官方登录内镜中心,有间诊疗室一改其他诊室的安静氛围,孩子哭喊声陆续传来。这里是小儿支气管镜诊疗室。
时间来到2022年8月12日,4岁的小项因持续发热、咳嗽长达5天,来到亚星手机版官方登录儿科寻求医治。经过儿科医生诊断,小项为大叶性肺炎。

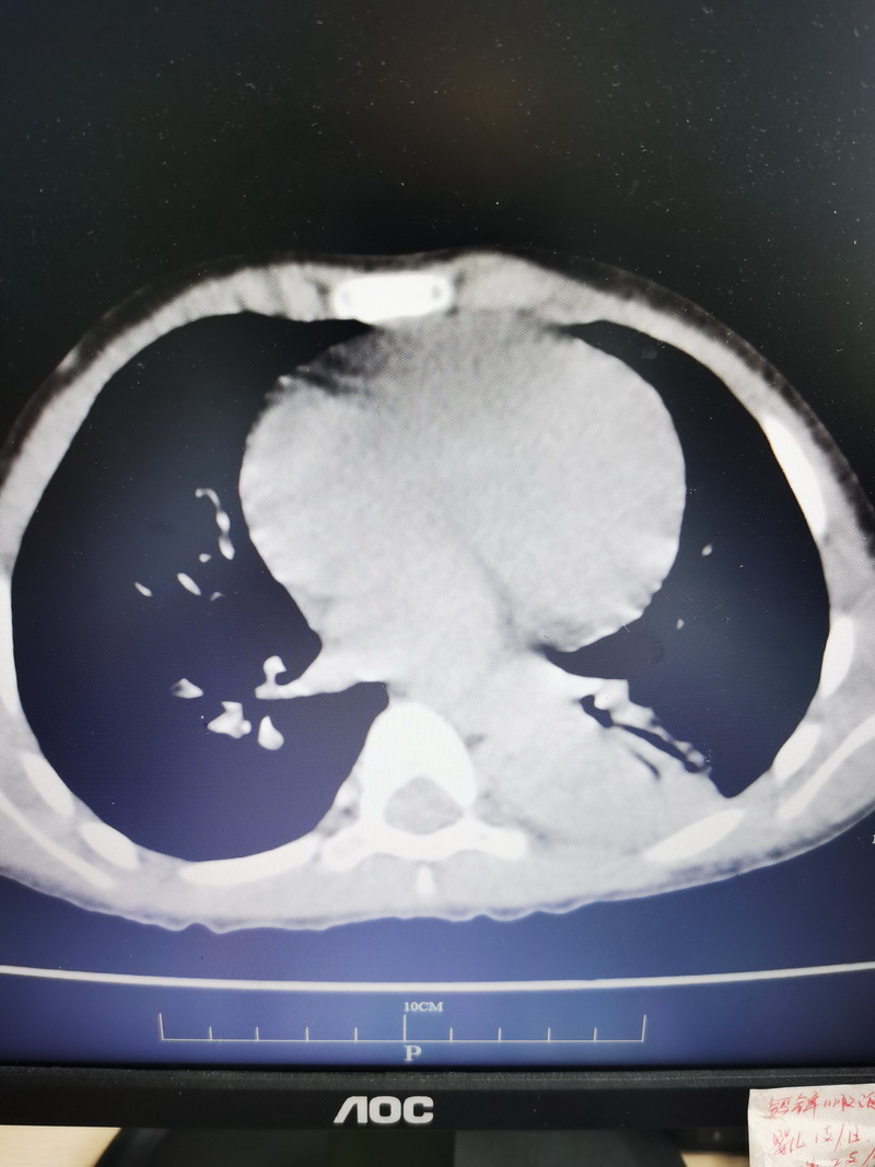
收住入院后,胸部高清CT检查结果显示:左下肺叶实变、左下叶背段气管狭窄。小项的症状一直未得到缓解,与家长沟通并取得同意后,儿科副主任章玲玲决定对小项进行电子支气管镜检查,并行支气管肺泡灌洗术。
小儿支气管镜就是将一根末处带有光源和摄像头的细长管子,从鼻腔处插入,依次经过咽、喉,进入气管与支气管处。通过末梢的摄像头,医生可以直接观察到气管与支气管处病变情况,然后进行抽取、灌洗、取异物等操作。
8月13日,章玲玲主任与护士们一起对小项进行了支气管镜检查。随着镇静药的吸入,小项不安的情绪逐渐稳定下来。为了让整场手术顺利进行,麻醉师往小项的气管里注滴了麻药,帮助缓解小项手术过程中的不适感。当细长的管子开始深入鼻腔,护士们一边安抚小项,一边配合医生的各项操作。

当气管镜深入支气管处,通过摄像头拍摄的画面,章玲玲主任发现左下肺外基底段气管开口处见白色胶冻状物体堵住气管开口,这便是导致小项持续咳嗽、发热的罪魁祸首——痰栓。
痰栓状态黏稠,如果无法自行排出,会在气管与支气管内形成塑行性痰栓。借助支气管镜,章玲玲主任继续进行支气管肺泡灌洗,吸出一根长2*3cm左右的塑型性痰栓。手术效果很明显,第二天,小项体温开始下降。术后第五天复查胸片时,小项左下肺炎症已好转。8月24日,小项顺利出院。

▲术前 VS ▲术后
支气管检查是一种可直观观察到气管与支气管病变的诊断和治疗手段。
小朋友出现什么情况可能需要接受支气管镜检查?
1.不明原因的咳嗽,如慢性刺激性咳嗽、反复呼吸道感染;
2. 不明原因的喘鸣或局限性哮鸣音;
3. X线胸片和(或)胸部CT检查异常者;
4. 肺部或支气管感染性疾病的病因学诊断;
5. 清除气道内异常分泌物;
6. 取出气道异物;
7. 手术治疗,如引导气管插管、胸部外科手术前的诊断和辅助诊断;
8. 疑有气道发育畸形的婴幼儿。
目前,小儿支气管镜术是一项危险系数小、直观且无创的手术。术前,医生会对患儿进行全面的准确评估,手术过程中需要操作医生、麻醉师、护士娴熟的技术操作和默契的配合。在行支气管镜检查前采用镇静加局部麻醉,能较大程度减轻患儿的痛苦。
亚星手机版官方登录儿科常规开展小儿支气管镜检查6年,帮助患儿有效缩短病程、改善预后,减少并发症的发生,获得了保守治疗难以达到的治疗结果,帮助众多儿童摆脱了气管与支气管病变困扰,提升了医院儿科专科发展,为黄山及周边地区的患儿提供更全面、更便捷的诊疗服务。
