泌尿系统结石到底有多痛?
“痛到怀疑人生,痛得刻骨铭心。”
“相比之下失恋的痛又算得了什么?”
这是很多泌尿系统结石患者对疼痛的描述。

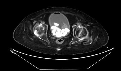
46岁的患者汪某因血尿3天就诊于亚星手机版官方登录泌尿外科。结合CT检查,汪某被确诊为膀胱多发结石。
汪某在20余年前颈椎手术后双下肢截瘫,存在全身性疼痛不适,高血压也未规范用药治疗,且检验结果提示存在泌尿道感染。入院后,医生对汪某留置导尿管、生理盐水持续膀胱冲洗,纠正低蛋白血症和电解质紊乱,进行积极的抗感染和各项对症治疗。

由于汪某的膀胱结石过多,且既往病史复杂,药物及体外震波碎石无效,与家属充分沟通并取得同意后,泌尿外科主任胡卫东、副主任李伟伟带领团队对汪某实施了局部麻醉下膀胱切开取石术。医生们轻柔仔细地从汪某的膀胱内取出了16块椭圆形扁平状的黄褐色结石,最大的直径达3cm。

术后予以抗感染、补液、对症治疗后,汪某恢复良好,血尿症状得到了完全缓解。
膀胱是用来储存人体尿液的器官,尿液中的无机盐析出形成不溶于水的固体块状物存在于膀胱之中,就称之为膀胱结石。

膀胱结石往往没有症状,并且随着时间长大,发现时直径已经远超过尿道直径,无法自然排出体外。尤其老年男性出现前列腺增生导致排尿“排不净”后,部分尿液在膀胱内沉淀,更容易析出结晶,形成膀胱结石。
常见的膀胱结石症状有哪些?
1、尿痛:疼痛可由于结石对膀胱粘膜的刺激引起,表现为下腹部和会阴部的钝痛或为明显或剧烈的疼痛。常伴有尿频、尿急、尿痛的症状,排尿终末是疼痛加剧。
2、排尿障碍:结石嵌于膀胱颈口时可出现明显的排尿困难,并有典型的排尿中断现象,还可引起急性尿潴留。
3、血尿:大多为终末血尿。膀胱结石合并感染时,可出现膀胱刺激症状和脓尿。
对于已经形成的膀胱结石,要及时治疗。在膀胱较小时,可以通过体外冲击波碎石治疗,如果结石负荷较大,预计粉碎后自行排出困难甚至容易导致尿道内嵌顿时,可以采用微创手术技术,如膀胱镜下钬激光碎石取石术,术中即可将结石粉碎后的碎屑直接冲出,避免了自行排石导致结石在尿道内梗阻的风险。
但是,如果像文中汪某这样,未能及时发现和治疗,导致膀胱结石过多、过大,手术切开取石就成为了最常用且有效的方法。
因此,得了结石不要怕,更不要“拖”、不要“挺”,及时就诊尽早治疗才是正途。
膀胱结石该如何预防?
结石虽能治愈,但容易复发。日常生活中需注意以下几点:
1、少吃太咸的饮食
会加重肾脏负担,而盐和钙在体内具有协同作用,且会干扰防治肾结石药物的代谢过程,食盐每天的摄入量应小于5克。
2、少吃糖
膀胱结石患者食糖后尿中的钙离子浓度、草酸及尿的酸度均会增加,尿酸度增加可使尿酸钙、草酸钙易于沉淀,促使结石的形成。
3、多饮水
多饮水,可防止杂质沉积于尿道,也有利于尿石的排出,预防膀胱结石。平时用金钱草泡开水当茶饮,有利排出结石、清热利湿、防治尿路感染、预防肾绞痛发作的功效。在夏天汗多时,尤其要多饮水,防止尿液浓缩。

4、加强锻炼
要尿结石顺利排出,还应配合一定的运动。如肾结石患者,可叫家人轻轻拍打肾区:输尿管结石患者,应自行多作跳跃运动,如练习投篮、跳绳,以促使尿石下移。膀胱结石患者,应憋尿后用力排尿,以利结石排出。此外,还要积极防治尿路感染。
