脊椎构成了人体的“中轴线”,不仅能支撑人类直立行走和活动,其内部遍布的神经系统更是大脑指挥全身各部位的传递者。
长期以来,车祸和高处坠落是导致胸腰椎骨折的重要原因。部分患者因合并脊髓挫伤、持续骨块压迫等情况,出现了下肢瘫痪、大小便失禁……给患者及其家属带来极大痛苦和沉重负担。

近期,亚星手机版官方登录收治了一例高处坠落致胸腰椎多发爆裂骨折合并截瘫的患者。好在经过脊柱外科的急诊手术和5个月的康复治疗,患者恢复良好,已经重新站立起来并恢复了独立行走。
今年5月,吴阿姨在干活时不慎从高处摔落,双腿当下就失去了知觉,无法活动,焦急万分的家人赶忙将她送往亚星手机版官方登录就医。
骨科脊柱病区马祖宁医师接诊后,迅速为吴阿姨进行体格检查,发现其胸腰背部出现后凸畸形,局部有压痛,腹股沟以下感觉明显减退,双下肢无主动活动。结合胸腹部CT检查结果,医生初步诊断为胸腰椎骨折合并脊髓损伤、不全瘫痪。

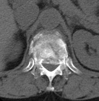
▲术前胸腰段三维CT检查提示:第12节胸椎爆裂性骨折伴椎管狭窄,椎管占位50%左右,第三节腰椎压缩性骨折,胸腰段后凸畸形。

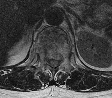
▲术前胸腰段MR提示:第12节胸椎和第1、3、4节腰椎压缩改变伴骨髓水肿,其中第12节胸椎压缩严重,椎管占位明显,脊髓受压变形。
伤情紧急,骨科主任方大标随即组织科室病例讨论后,决定行急诊手术,尽早减压,稳定脊柱,才能够减少脊髓损伤后潜在二次损伤可能,最大限度帮助神经功能的恢复,降低卧床等相关并发症的发生率。
医生的建议很快取得了家属的理解和同意,完善其他相关检查排除重要脏器合并损伤后,已是晚上8点50分,吴阿姨在伤后6小时被推进了手术室。
在麻醉科及手术室护理团队的精诚配合下,脊柱病区主任王建华带领团队对吴阿姨实施了『胸腰椎骨折后路椎管减压、骨折复位、长节段钉棒内固定+后外侧融合术』。
术中,医生见受压节段的脊髓呈现挫伤和淤紫,对第12节胸椎棘突椎板切除减压,利用体位及钉棒系统复位椎体高度,并利用后纵韧带的牵拉推挤作用复位椎管内的占位骨块,彻底解除了脊髓受压;非减压节段则经肌间隙植入了椎弓根螺钉,以减少肌肉剥离及手术创伤。
历时3小时,手术在次日凌晨0时18分顺利结束。

▲术后复查胸腰椎正侧位片提示:脊柱序列恢复,骨折椎体形态高度完全恢复,内固定位置满意。

积极手术是治疗的基础,术后的综合康复对吴阿姨来说也同样至关重要。
王建华主任请高压氧舱和康复运动医学科会诊,共同促进神经功能恢复。术后3天,吴阿姨双侧股四头肌可见肌肉收缩,1周后右侧伸膝肌力和左侧肌力逐渐恢复。
在2个疗程的高压氧治疗,以及针灸、运动疗法、肌力训练及物理治疗后,术后1个月时,吴阿姨可以从床边坐起,双下肢主动抬高维持30秒以上,并逐渐能够在支具保护下尝试电动直立床站立训练,吴阿姨也转入了康复运动医学科,继续进行系统化的康复训练。
在康复运动医学科,医生每半个月对吴阿姨展开系统的康复评定,根据恢复情况制定阶段性的治疗方案。由最开始的卧坐转移,到坐位平衡训练,再到坐站转移、站位平衡训练及轮椅转移,最后到助行器辅助下行走锻炼。期间,医生还通过理疗、针灸及电针提高双下肢肌力,解决小便失禁等问题,帮助吴阿姨进一步提高生活质量。
目前是吴阿姨术后的第6个月,经过骨科、康复运动医学科及高压氧等综合治疗,她已经佩戴支具独立行走,大小便能自解。吴阿姨和家人很满意康复效果,也很感激医护们半年来的治疗和陪伴。出院之际,脊柱病区和康复运动医学科都收到了家人送来的锦旗。


骨折损伤到脊髓神经是胸椎骨折以后患者出现截瘫的主要原因。根据医生对以往临床实践工作的总结,对此类患者早期进行手术干预,复位骨折、解除脊髓压迫,并内固定提供稳定,为神经恢复创造条件。
术后,需联合神经营养药物、高压氧及康复科锻炼、针灸、理疗等措施积极治疗,可大大提高治疗效果,帮助患者重新站起来,恢复自理能力、提升生活信心,甚至重返工作。
回顾吴阿姨伤后的就医过程,医生们深感患者、家属信任与配合的重要性,也正是有了吴阿姨的坚强和家属的精心照料,才有良好的康复效果。医生也提醒广大市民朋友,注意出行安全、生产安全,心中要警钟长鸣。
